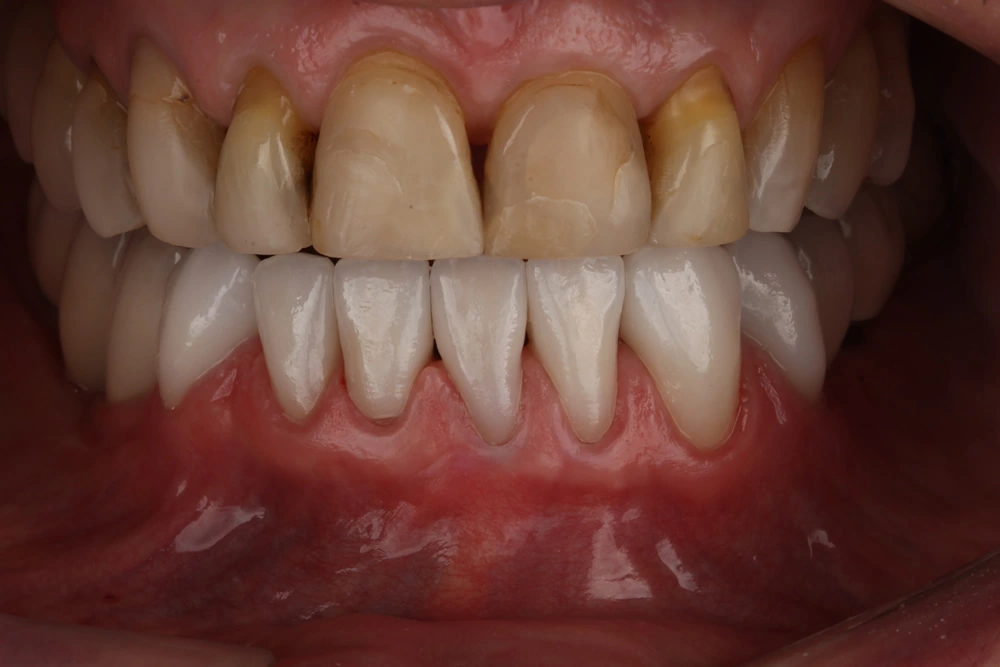
Imagem ilustrativa de próteses dentárias removíveis e fixas, destacando conforto e estética na reposição dental.
Prótese Dentária
Cuidamos da reposição de dentes com próteses dentárias removíveis e fixas, garantindo estética e função. Proporcionamos conforto e um processo de instalação simples e indolor.
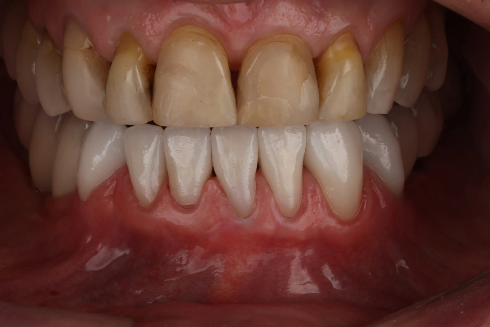
Imagem ilustrativa de próteses dentárias removíveis e fixas, destacando conforto e estética na reposição dental.
Imagem ilustrativa de próteses dentárias removíveis e fixas, destacando conforto e estética na reposição dental.
Prótese Dentária
Cuidamos da reposição de dentes com próteses dentárias removíveis e fixas, garantindo estética e função. Proporcionamos conforto e um processo de instalação simples e indolor.
O que é?
A prótese dentária é uma solução odontológica personalizada, desenvolvida para restaurar a função, a estética e a saúde bucal de pacientes que perderam um ou mais dentes. Esses dispositivos são projetados para substituir dentes ausentes ou danificados, proporcionando um sorriso mais natural, conforto ao mastigar e maior qualidade de vida.
Pacientes com perda total dos dentes
Podemos utilizar a Prótese total removível: prótese móvel que repõe todos os dentes.
Os passos para sua confecção são simples e rápidos, sendo realizada em até 5 sessões, entre a primeira moldagem e a entrega. Pode ser entregue em menos de 1 semana e sua instalação é simples e indolor. Em relação a sua confecção, ela é realizada em laboratório, com sua estrutura toda em resina acrílica e os dentes.
A entrega de prótese nunca é final de tratamento e a visita periódica ao dentista para revisões e ajustes é imprescindível, garantido a saúde e longevidade do trabalho. Esse tipo de prótese dura em média 4 anos.
Pacientes que ainda tem algum dente na boca ou que possuem algum tórus (osso proeminente), impedindo o assentamento da prótese.
Pacientes com perda parcial dos dentes
Podemos utilizar a Prótese parcial removível, que é uma prótese móvel que repõe os dentes ausentes.
Antes de começar a confecção dessa prótese é importante que o paciente passe por uma avaliação da saúde dos dentes que ainda restam, pois ela será apoiada sobre eles. Os passos para sua confecção são simples e rápidos, sendo realizada em até 4 sessões, entre a primeira moldagem e a entrega. Sua instalação é simples e indolor. Em relação a sua confecção, ela é realizada em laboratório, com sua estrutura fundida em metal, a gengiva em Resina acrílica e os dentes.
A entrega de prótese nunca é final de tratamento e a visita periódica ao dentista para revisões e ajustes é imprescindível, principalmente pelo fato de ainda restarem alguns dentes, garantido assim, a saúde e longevidade do trabalho. Esse tipo de prótese dura em média 4 anos.
Pacientes que não possuem o número mínimo de dentes necessários para o seu apoio e/ou que não estejam saudáveis e pacientes que possuem tórus nas arcadas (osso proeminente).
Pacientes com perda de apenas um elemento
Podemos utilizar a Prótese Parcial Fixa, que nos dentes laterais repondo o dente faltante.
Antes de começar a confecção dessa prótese é importante que o paciente passe por uma avaliação da saúde dos dentes que ainda restam, pois ela será apoiada sobre eles. Os passos para sua confecção são simples e rápidos, sendo realizada em até 4 sessões, entre a primeira moldagem e a entrega. Sua instalação é simples e indolor. Em relação a sua confecção, ela é realizada em laboratório, com sua estrutura fundida em metal, a gengiva em Resina acrílica e os dentes.
A entrega de prótese nunca é final de tratamento e a visita periódica ao dentista para revisões e ajustes é imprescindível, principalmente pelo fato de ainda restarem alguns dentes, garantido assim, a saúde e longevidade do trabalho. Esse tipo de prótese dura em média 4 anos.
Pacientes que não possuem o número mínimo de dentes necessários para o seu apoio e/ou que não estejam saudáveis e pacientes que possuem tórus nas arcadas (osso proeminente).
O que é?
A prótese dentária é uma solução odontológica personalizada, desenvolvida para restaurar a função, a estética e a saúde bucal de pacientes que perderam um ou mais dentes. Esses dispositivos são projetados para substituir dentes ausentes ou danificados, proporcionando um sorriso mais natural, conforto ao mastigar e maior qualidade de vida.
Pacientes com perda total dos dentes
Podemos utilizar a Prótese total removível: prótese móvel que repõe todos os dentes.
Os passos para sua confecção são simples e rápidos, sendo realizada em até 5 sessões, entre a primeira moldagem e a entrega. Pode ser entregue em menos de 1 semana e sua instalação é simples e indolor. Em relação a sua confecção, ela é realizada em laboratório, com sua estrutura toda em resina acrílica e os dentes.
A entrega de prótese nunca é final de tratamento e a visita periódica ao dentista para revisões e ajustes é imprescindível, garantido a saúde e longevidade do trabalho. Esse tipo de prótese dura em média 4 anos.
Pacientes que ainda tem algum dente na boca ou que possuem algum tórus (osso proeminente), impedindo o assentamento da prótese.
Pacientes com perda parcial dos dentes
Podemos utilizar a Prótese parcial removível, que é uma prótese móvel que repõe os dentes ausentes.
Antes de começar a confecção dessa prótese é importante que o paciente passe por uma avaliação da saúde dos dentes que ainda restam, pois ela será apoiada sobre eles. Os passos para sua confecção são simples e rápidos, sendo realizada em até 4 sessões, entre a primeira moldagem e a entrega. Sua instalação é simples e indolor. Em relação a sua confecção, ela é realizada em laboratório, com sua estrutura fundida em metal, a gengiva em Resina acrílica e os dentes.
A entrega de prótese nunca é final de tratamento e a visita periódica ao dentista para revisões e ajustes é imprescindível, principalmente pelo fato de ainda restarem alguns dentes, garantido assim, a saúde e longevidade do trabalho. Esse tipo de prótese dura em média 4 anos.
Pacientes que não possuem o número mínimo de dentes necessários para o seu apoio e/ou que não estejam saudáveis e pacientes que possuem tórus nas arcadas (osso proeminente).
Pacientes com perda de apenas um elemento
Podemos utilizar a Prótese Parcial Fixa, que nos dentes laterais repondo o dente faltante.
Antes de começar a confecção dessa prótese é importante que o paciente passe por uma avaliação da saúde dos dentes que ainda restam, pois ela será apoiada sobre eles. Os passos para sua confecção são simples e rápidos, sendo realizada em até 4 sessões, entre a primeira moldagem e a entrega. Sua instalação é simples e indolor. Em relação a sua confecção, ela é realizada em laboratório, com sua estrutura fundida em metal, a gengiva em Resina acrílica e os dentes.
A entrega de prótese nunca é final de tratamento e a visita periódica ao dentista para revisões e ajustes é imprescindível, principalmente pelo fato de ainda restarem alguns dentes, garantido assim, a saúde e longevidade do trabalho. Esse tipo de prótese dura em média 4 anos.
Pacientes que não possuem o número mínimo de dentes necessários para o seu apoio e/ou que não estejam saudáveis e pacientes que possuem tórus nas arcadas (osso proeminente).
O que é?
A prótese dentária é uma solução odontológica personalizada, desenvolvida para restaurar a função, a estética e a saúde bucal de pacientes que perderam um ou mais dentes. Esses dispositivos são projetados para substituir dentes ausentes ou danificados, proporcionando um sorriso mais natural, conforto ao mastigar e maior qualidade de vida.
Pacientes com perda total dos dentes
Podemos utilizar a Prótese total removível: prótese móvel que repõe todos os dentes.
Os passos para sua confecção são simples e rápidos, sendo realizada em até 5 sessões, entre a primeira moldagem e a entrega. Pode ser entregue em menos de 1 semana e sua instalação é simples e indolor. Em relação a sua confecção, ela é realizada em laboratório, com sua estrutura toda em resina acrílica e os dentes.
A entrega de prótese nunca é final de tratamento e a visita periódica ao dentista para revisões e ajustes é imprescindível, garantido a saúde e longevidade do trabalho. Esse tipo de prótese dura em média 4 anos.
Pacientes que ainda tem algum dente na boca ou que possuem algum tórus (osso proeminente), impedindo o assentamento da prótese.
Pacientes com perda parcial dos dentes
Podemos utilizar a Prótese parcial removível, que é uma prótese móvel que repõe os dentes ausentes.
Antes de começar a confecção dessa prótese é importante que o paciente passe por uma avaliação da saúde dos dentes que ainda restam, pois ela será apoiada sobre eles. Os passos para sua confecção são simples e rápidos, sendo realizada em até 4 sessões, entre a primeira moldagem e a entrega. Sua instalação é simples e indolor. Em relação a sua confecção, ela é realizada em laboratório, com sua estrutura fundida em metal, a gengiva em Resina acrílica e os dentes.
A entrega de prótese nunca é final de tratamento e a visita periódica ao dentista para revisões e ajustes é imprescindível, principalmente pelo fato de ainda restarem alguns dentes, garantido assim, a saúde e longevidade do trabalho. Esse tipo de prótese dura em média 4 anos.
Pacientes que não possuem o número mínimo de dentes necessários para o seu apoio e/ou que não estejam saudáveis e pacientes que possuem tórus nas arcadas (osso proeminente).
Pacientes com perda de apenas um elemento
Podemos utilizar a Prótese Parcial Fixa, que nos dentes laterais repondo o dente faltante.
Antes de começar a confecção dessa prótese é importante que o paciente passe por uma avaliação da saúde dos dentes que ainda restam, pois ela será apoiada sobre eles. Os passos para sua confecção são simples e rápidos, sendo realizada em até 4 sessões, entre a primeira moldagem e a entrega. Sua instalação é simples e indolor. Em relação a sua confecção, ela é realizada em laboratório, com sua estrutura fundida em metal, a gengiva em Resina acrílica e os dentes.
A entrega de prótese nunca é final de tratamento e a visita periódica ao dentista para revisões e ajustes é imprescindível, principalmente pelo fato de ainda restarem alguns dentes, garantido assim, a saúde e longevidade do trabalho. Esse tipo de prótese dura em média 4 anos.
Pacientes que não possuem o número mínimo de dentes necessários para o seu apoio e/ou que não estejam saudáveis e pacientes que possuem tórus nas arcadas (osso proeminente).
Pacientes com perda total dos dentes
Podemos utilizar a Prótese total fixa sobre implantes, conhecida como Protocolo, que é uma prótese fixa que repõe todos os dentes.
Os passos para sua confecção incluem a instalação dos implantes e a confecção da prótese. Em relação a sua confecção, ela é realizada em laboratório, com sua estrutura interna de metal e o restante em Resina acrílica e os dentes.
A entrega de prótese nunca é o término do tratamento. As visitas periódicas ao dentista para revisões e ajustes são imprescindíveis, garantido a saúde e longevidade da prótese. Esse tipo de prótese dura em média, 4 anos devido ao desgaste dos dentes de acrílico. Sua substituição é feita sob os mesmos implantes.
Pacientes que não possuem osso suficiente e não podem ser submetidos a enxerto (reposição óssea).
Pacientes com perda parcial dos dentes
Podemos utilizar a Prótese Parcial Fixa, que é uma prótese fixa sobre implantes que repõe um ou mais dentes faltantes.
Os passos para sua confecção incluem a instalação dos implantes e a confecção da prótese. Em relação a sua confecção, ela é realizada em laboratório, utilizando peças de porcelana.
A entrega de prótese nunca é final de tratamento e a visita periódica ao dentista para revisões e ajustes é imprescindível, garantido a saúde e longevidade dos implantes.
Pacientes que não possuem osso suficiente e não podem ser submetidos a enxerto (reposição óssea).
Pacientes com perda de apenas um elemento
Podemos utilizar a Prótese Fixa sobre implante, que é uma prótese fixa no implante sem comprometer os dentes ao lado.
Os passos para sua confecção incluem a instalação do implante e provisório e a confecção final da prótese. Em relação a sua confecção, ela é realizada em laboratório, sendo peças de porcelana.
A entrega de prótese nunca é final de tratamento e a visita periódica ao dentista para revisões e ajustes é imprescindível, garantido a saúde e longevidade dos implantes.
Pacientes que não possuem osso suficiente e não podem ser submetidos a enxerto (reposição óssea).
Pacientes com dentes naturais que queiram melhorar a estética
Podemos utilizar facetas/lentes de contato de Cerâmica ou Resina Composta, que são restaurações que devolvem função e estética e são colocadas sobre dentes naturais.
Os passos para sua confecção precisam de um planejamento prévio de avaliação clínica, avaliação radiográfica, fotos e enceramento. Quando em cerâmica, as peças são realizadas em laboratório e quando em Resina são realizadas no próprio consultório.
A partir do momento que buscamos por um tratamento estético, precisamos ter responsabilidade e cuidados redobrados. As consultas periódicas para manutenção são imprescindíveis e tem relação com a longevidade do trabalho.
Pacientes usuários de prótese total ou parcial, removível ou fixa em Resina acrílica, não podem fazer, porém cada caso precisa ser avaliado individualmente.
Pacientes com perda total dos dentes
Podemos utilizar a Prótese total fixa sobre implantes, conhecida como Protocolo, que é uma prótese fixa que repõe todos os dentes.
Os passos para sua confecção incluem a instalação dos implantes e a confecção da prótese. Em relação a sua confecção, ela é realizada em laboratório, com sua estrutura interna de metal e o restante em Resina acrílica e os dentes.
A entrega de prótese nunca é o término do tratamento. As visitas periódicas ao dentista para revisões e ajustes são imprescindíveis, garantido a saúde e longevidade da prótese. Esse tipo de prótese dura em média, 4 anos devido ao desgaste dos dentes de acrílico. Sua substituição é feita sob os mesmos implantes.
Pacientes que não possuem osso suficiente e não podem ser submetidos a enxerto (reposição óssea).
Pacientes com perda parcial dos dentes
Podemos utilizar a Prótese Parcial Fixa, que é uma prótese fixa sobre implantes que repõe um ou mais dentes faltantes.
Os passos para sua confecção incluem a instalação dos implantes e a confecção da prótese. Em relação a sua confecção, ela é realizada em laboratório, utilizando peças de porcelana.
A entrega de prótese nunca é final de tratamento e a visita periódica ao dentista para revisões e ajustes é imprescindível, garantido a saúde e longevidade dos implantes.
Pacientes que não possuem osso suficiente e não podem ser submetidos a enxerto (reposição óssea).
Pacientes com perda de apenas um elemento
Podemos utilizar a Prótese Fixa sobre implante, que é uma prótese fixa no implante sem comprometer os dentes ao lado.
Os passos para sua confecção incluem a instalação do implante e provisório e a confecção final da prótese. Em relação a sua confecção, ela é realizada em laboratório, sendo peças de porcelana.
A entrega de prótese nunca é final de tratamento e a visita periódica ao dentista para revisões e ajustes é imprescindível, garantido a saúde e longevidade dos implantes.
Pacientes que não possuem osso suficiente e não podem ser submetidos a enxerto (reposição óssea).
Pacientes com dentes naturais que queiram melhorar a estética
Podemos utilizar facetas/lentes de contato de Cerâmica ou Resina Composta, que são restaurações que devolvem função e estética e são colocadas sobre dentes naturais.
Os passos para sua confecção precisam de um planejamento prévio de avaliação clínica, avaliação radiográfica, fotos e enceramento. Quando em cerâmica, as peças são realizadas em laboratório e quando em Resina são realizadas no próprio consultório.
A partir do momento que buscamos por um tratamento estético, precisamos ter responsabilidade e cuidados redobrados. As consultas periódicas para manutenção são imprescindíveis e tem relação com a longevidade do trabalho.
Pacientes usuários de prótese total ou parcial, removível ou fixa em Resina acrílica, não podem fazer, porém cada caso precisa ser avaliado individualmente.
Pacientes com perda total dos dentes
Podemos utilizar a Prótese total fixa sobre implantes, conhecida como Protocolo, que é uma prótese fixa que repõe todos os dentes.
Os passos para sua confecção incluem a instalação dos implantes e a confecção da prótese. Em relação a sua confecção, ela é realizada em laboratório, com sua estrutura interna de metal e o restante em Resina acrílica e os dentes.
A entrega de prótese nunca é o término do tratamento. As visitas periódicas ao dentista para revisões e ajustes são imprescindíveis, garantido a saúde e longevidade da prótese. Esse tipo de prótese dura em média, 4 anos devido ao desgaste dos dentes de acrílico. Sua substituição é feita sob os mesmos implantes.
Pacientes que não possuem osso suficiente e não podem ser submetidos a enxerto (reposição óssea).
Pacientes com perda parcial dos dentes
Podemos utilizar a Prótese Parcial Fixa, que é uma prótese fixa sobre implantes que repõe um ou mais dentes faltantes.
Os passos para sua confecção incluem a instalação dos implantes e a confecção da prótese. Em relação a sua confecção, ela é realizada em laboratório, utilizando peças de porcelana.
A entrega de prótese nunca é final de tratamento e a visita periódica ao dentista para revisões e ajustes é imprescindível, garantido a saúde e longevidade dos implantes.
Pacientes que não possuem osso suficiente e não podem ser submetidos a enxerto (reposição óssea).
Pacientes com perda de apenas um elemento
Podemos utilizar a Prótese Fixa sobre implante, que é uma prótese fixa no implante sem comprometer os dentes ao lado.
Os passos para sua confecção incluem a instalação do implante e provisório e a confecção final da prótese. Em relação a sua confecção, ela é realizada em laboratório, sendo peças de porcelana.
A entrega de prótese nunca é final de tratamento e a visita periódica ao dentista para revisões e ajustes é imprescindível, garantido a saúde e longevidade dos implantes.
Pacientes que não possuem osso suficiente e não podem ser submetidos a enxerto (reposição óssea).
Pacientes com dentes naturais que queiram melhorar a estética
Podemos utilizar facetas/lentes de contato de Cerâmica ou Resina Composta, que são restaurações que devolvem função e estética e são colocadas sobre dentes naturais.
Os passos para sua confecção precisam de um planejamento prévio de avaliação clínica, avaliação radiográfica, fotos e enceramento. Quando em cerâmica, as peças são realizadas em laboratório e quando em Resina são realizadas no próprio consultório.
A partir do momento que buscamos por um tratamento estético, precisamos ter responsabilidade e cuidados redobrados. As consultas periódicas para manutenção são imprescindíveis e tem relação com a longevidade do trabalho.
Pacientes usuários de prótese total ou parcial, removível ou fixa em Resina acrílica, não podem fazer, porém cada caso precisa ser avaliado individualmente.
Perguntas Frequentes
A opção de melhor custo beneficio e conforto que temos hoje é a reposição de dentes através de implantes dentários.
Esse tipo de prótese é apoiada em dentes naturais e precisam ter uma manutenção periódica no dentista para garantir sua saúde e longevidade. Se o paciente nunca remover a prótese para higiene ou não ir nas consultas, esses dentes poderão ser comprometidos.
Vai depender da prótese (seu material), mas em média 5 anos.
Sem dúvidas elas são importantes e estão diretamente ligadas com a longevidade (durabilidade) das próteses. É necessário fazer manutenções para profilaxias (limpeza) e radiografias de acompanhamento.
Perguntas Frequentes
A opção de melhor custo beneficio e conforto que temos hoje é a reposição de dentes através de implantes dentários.
Esse tipo de prótese é apoiada em dentes naturais e precisam ter uma manutenção periódica no dentista para garantir sua saúde e longevidade. Se o paciente nunca remover a prótese para higiene ou não ir nas consultas, esses dentes poderão ser comprometidos.
Vai depender da prótese (seu material), mas em média 5 anos.
Sem dúvidas elas são importantes e estão diretamente ligadas com a longevidade (durabilidade) das próteses. É necessário fazer manutenções para profilaxias (limpeza) e radiografias de acompanhamento.
Perguntas Frequentes
A opção de melhor custo beneficio e conforto que temos hoje é a reposição de dentes através de implantes dentários.
Esse tipo de prótese é apoiada em dentes naturais e precisam ter uma manutenção periódica no dentista para garantir sua saúde e longevidade. Se o paciente nunca remover a prótese para higiene ou não ir nas consultas, esses dentes poderão ser comprometidos.
Vai depender da prótese (seu material), mas em média 5 anos.
Sem dúvidas elas são importantes e estão diretamente ligadas com a longevidade (durabilidade) das próteses. É necessário fazer manutenções para profilaxias (limpeza) e radiografias de acompanhamento.
Banner de agendamento de avaliação no Instituto IPPO com equipe de profissionais e formulário para contato.
Agende sua avaliação
Banner de agendamento de avaliação no Instituto IPPO com equipe de profissionais e formulário para contato.
Agende sua avaliação
Banner de agendamento de avaliação no Instituto IPPO com equipe de profissionais e formulário para contato.
Agende sua avaliação
Vantagens de ser um
Paciente Modelo IPPO

Como paciente modelo, você pode ser atendido por nossos profissionais especializados e aproveitar essas vantagens:


Atendimentos realizados em nossos cursos, por dentistas formados em pós-graduação;

Condições diferenciadas em relação ao atendimento particular;

Supervisão realizada por professores Mestres e Doutores reconhecidos em todo o Brasil;

Parceria com as melhores empresas de insumos e materiais do mercado;

Utilização dos melhores e mais modernos equipamentos, materiais e técnicas disponíveis na Odontologia.

Seja um
Paciente Modelo IPPO

No IPPO você pode ser atendido tanto por nossos profissionais particulares quanto aproveitar as vantagens de ser um Paciente Modelo IPPO:


Atendimentos realizados em nossos cursos, por dentistas formados em pós-graduação

Condições diferenciadas em relação ao atendimento particular

Supervisão realizada por professores Mestres e Doutores reconhecidos em todo o Brasil

Parceria com as melhores empresas do mercado

Utilização dos melhores e mais modernos materiais e técnicas disponíveis na Odontologia

Vantagens de ser um
Paciente Modelo IPPO

Como paciente modelo, você pode ser atendido por nossos profissionais especializados e aproveitar essas vantagens:


Atendimentos realizados em nossos cursos, por dentistas formados em pós-graduação;

Condições diferenciadas em relação ao atendimento particular;

Supervisão realizada por professores Mestres e Doutores reconhecidos em todo o Brasil;

Parceria com as melhores empresas de insumos e materiais do mercado;

Utilização dos melhores e mais modernos equipamentos, materiais e técnicas disponíveis na Odontologia.