Imagem representando a saúde periodontal, destacando a importância dos cuidados com a gengiva e estruturas de sustentação dos dentes, essenciais para a prevenção e tratamento de doenças como gengivite e periodontite.
Periodontia
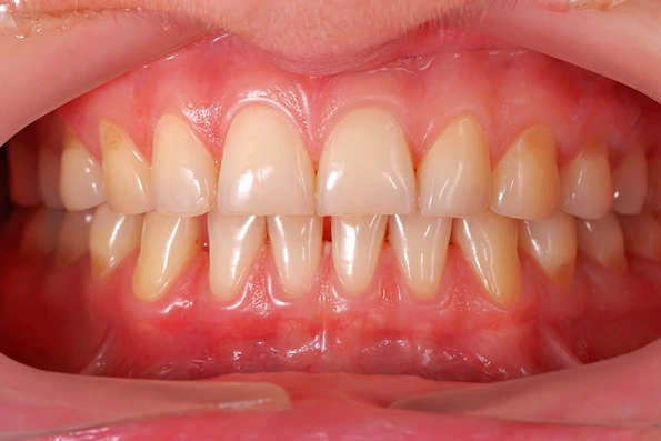
A Periodontia previne e trata as estruturas de suporte dos dentes, como gengivas e ossos, combatendo doenças como gengivite e periodontite e promovendo a saúde bucal.
Imagem representando a saúde periodontal, destacando a importância dos cuidados com a gengiva e estruturas de sustentação dos dentes, essenciais para a prevenção e tratamento de doenças como gengivite e periodontite.
Imagem representando a saúde periodontal, destacando a importância dos cuidados com a gengiva e estruturas de sustentação dos dentes, essenciais para a prevenção e tratamento de doenças como gengivite e periodontite.
Periodontia
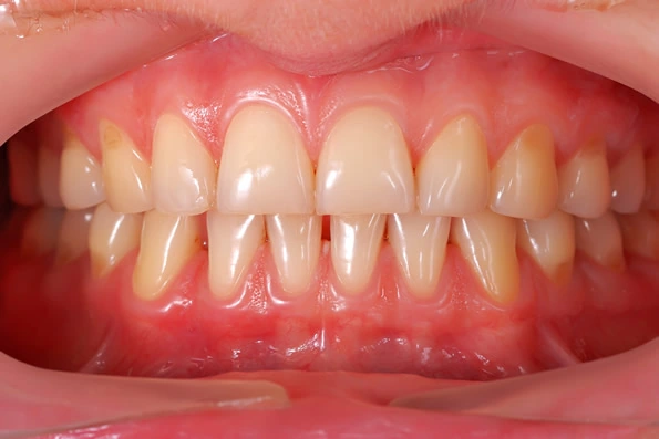
A Periodontia previne e trata as estruturas de suporte dos dentes, como gengivas e ossos, combatendo doenças como gengivite e periodontite e promovendo a saúde bucal.
O que é?
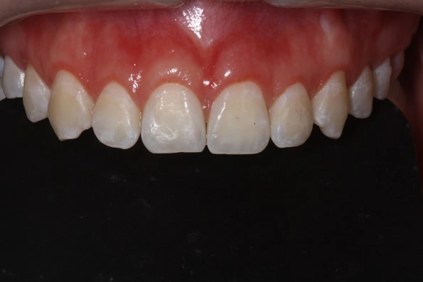
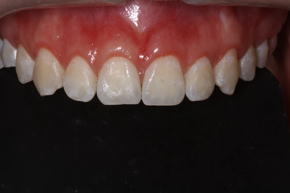
A Periodontia é uma especialidade da odontologia responsável pela prevenção e manutenção das estruturas de proteção (gengiva) e sustentação (ligamento periodontal, cemento e osso) dos elementos dentários. É muito importante as pessoas saberem reconhecer e identificar as características de uma gengiva saudável. Em relação a cor esta pode variar de um rosa claro ou apresentar algumas manchas escuras (pigmentações). Outros aspectos são gengiva marginal em forma de ponta de faca, papilas de forma triangular preenchendo os espaços entre os dentes na região anterior e côncava nos dentes posteriores, gengiva firme, contorno levemente ondulado e não apresenta sangramento.
Prevenção e manutenção
A prevenção e manutenção da saúde gengival e periodontal é realizada por um adequado controle de higiene oral pessoal e profissional. O cuidado pessoal é feito por um efetivo controle mecânico de placa microbiana com uso de escova, fio e creme dentais diariamente. O cuidado profissional é dado por uma visita regular a clínica em que serão repassadas instruções de higiene oral individualizadas, bem como, remoção mecânica de placa microbiana e polimento quando necessário.
Principais problemas
A placa bacteriana é definida como uma película de aspecto viscosa, pegajosa, incolor ou esbranquiçada, fortemente aderida às superfícies dentais que se formam constantemente nos dentes e composta por bilhões de bactérias, sendo a maioria encontrada apenas na cavidade oral. A placa bacteriana é o principal agente etiológico das doenças periodontais. Quando os cuidados de higiene oral não são bem executados pode ocorrer um acúmulo maior de placa na margem gengival acarretando inúmeras alterações no tecido gengival e periodontal. Nos estágios iniciais as alterações são restritas a gengiva marginal causando vermelhidão, inchaço, sangramento ao toque ou espontâneo e hálito persistente ou mau gosto na boca. Esse primeiro estágio é denominado de gengivite. Entretanto, quando não tratada pode evoluir para periodontite, que inclui gengivas vermelhas brilhantes, escuras ou arroxeadas, inchaço, sangramento, bolsas periodontais (afastamento entre os dentes e as gengivas), pús, possivelmente dor, recessão gengival e principalmente perda do osso que suporte os dentes.
Outros fatores de risco
Além da placa bacteriana é importante considerar outros fatores de risco como alterações hormonais (gestação), menopausa, menstruação, diabetes, medicamentos, tabaco, obesidade, restaurações mal adaptadas, pessoas imunocomprometidas entre outras. Estima-se que doenças periodontais graves afetem quase 10% da população global.
Importante ressaltar que enfermidades periodontais tendem afetar negativamente nas atividades diárias, tanto na capacidade de comer, falar e socializar como também nas relações interpessoais, podendo reduzir assim a qualidade de vida e autoestima das pessoas, além de acarretar outros possíveis problemas de saúde em geral.
Diagnóstico
A doença periodontal é diagnosticada pelo seu dentista durante um exame periodontal. Esse tipo de exame deve sempre fazer parte do seu check-up odontológico regular. Aqui observaremos a cor da gengiva, espaço existente entre dente e gengiva (sulco ou bolsa periodontal), presença ou não de sangramento, presença ou não de edema (inchaço), flacidez, presença de recessão gengival.
Formas de tratamento
As formas de tratamento da doença periodontal são a raspagem periodontal, que consiste na remoção da placa e cálculo dental através de instrumentos específicos (ultrassom e curetas) e a cirurgia periodontal. Os procedimentos são específicos para cada situação clinica apresentada.
Além desses, temos os casos de recobrimento radicular, correção de sorriso gengival, frenectomia, remoção de manchas gengivais, rastreamento oral de câncer ou outras doenças, implantes, enxertos gengivais, aumento ósseo, aumento de coroa, regeneração de tecidos moles e duros, entre outros.
O que é?
A Periodontia é uma especialidade da odontologia responsável pela prevenção e manutenção das estruturas de proteção (gengiva) e sustentação (ligamento periodontal, cemento e osso) dos elementos dentários. É muito importante as pessoas saberem reconhecer e identificar as características de uma gengiva saudável. Em relação a cor esta pode variar de um rosa claro ou apresentar algumas manchas escuras (pigmentações). Outros aspectos são gengiva marginal em forma de ponta de faca, papilas de forma triangular preenchendo os espaços entre os dentes na região anterior e côncava nos dentes posteriores, gengiva firme, contorno levemente ondulado e não apresenta sangramento.
Prevenção e manutenção
A prevenção e manutenção da saúde gengival e periodontal é realizada por um adequado controle de higiene oral pessoal e profissional. O cuidado pessoal é feito por um efetivo controle mecânico de placa microbiana com uso de escova, fio e creme dentais diariamente. O cuidado profissional é dado por uma visita regular a clínica em que serão repassadas instruções de higiene oral individualizadas, bem como, remoção mecânica de placa microbiana e polimento quando necessário.
Principais problemas
A placa bacteriana é definida como uma película de aspecto viscosa, pegajosa, incolor ou esbranquiçada, fortemente aderida às superfícies dentais que se formam constantemente nos dentes e composta por bilhões de bactérias, sendo a maioria encontrada apenas na cavidade oral. A placa bacteriana é o principal agente etiológico das doenças periodontais. Quando os cuidados de higiene oral não são bem executados pode ocorrer um acúmulo maior de placa na margem gengival acarretando inúmeras alterações no tecido gengival e periodontal. Nos estágios iniciais as alterações são restritas a gengiva marginal causando vermelhidão, inchaço, sangramento ao toque ou espontâneo e hálito persistente ou mau gosto na boca. Esse primeiro estágio é denominado de gengivite. Entretanto, quando não tratada pode evoluir para periodontite, que inclui gengivas vermelhas brilhantes, escuras ou arroxeadas, inchaço, sangramento, bolsas periodontais (afastamento entre os dentes e as gengivas), pús, possivelmente dor, recessão gengival e principalmente perda do osso que suporte os dentes.
Outros fatores de risco
Além da placa bacteriana é importante considerar outros fatores de risco como alterações hormonais (gestação), menopausa, menstruação, diabetes, medicamentos, tabaco, obesidade, restaurações mal adaptadas, pessoas imunocomprometidas entre outras. Estima-se que doenças periodontais graves afetem quase 10% da população global.
Importante ressaltar que enfermidades periodontais tendem afetar negativamente nas atividades diárias, tanto na capacidade de comer, falar e socializar como também nas relações interpessoais, podendo reduzir assim a qualidade de vida e autoestima das pessoas, além de acarretar outros possíveis problemas de saúde em geral.
Diagnóstico
A doença periodontal é diagnosticada pelo seu dentista durante um exame periodontal. Esse tipo de exame deve sempre fazer parte do seu check-up odontológico regular. Aqui observaremos a cor da gengiva, espaço existente entre dente e gengiva (sulco ou bolsa periodontal), presença ou não de sangramento, presença ou não de edema (inchaço), flacidez, presença de recessão gengival.
Formas de tratamento
As formas de tratamento da doença periodontal são a raspagem periodontal, que consiste na remoção da placa e cálculo dental através de instrumentos específicos (ultrassom e curetas) e a cirurgia periodontal. Os procedimentos são específicos para cada situação clinica apresentada.
Além desses, temos os casos de recobrimento radicular, correção de sorriso gengival, frenectomia, remoção de manchas gengivais, rastreamento oral de câncer ou outras doenças, implantes, enxertos gengivais, aumento ósseo, aumento de coroa, regeneração de tecidos moles e duros, entre outros.
O que é?
A Periodontia é uma especialidade da odontologia responsável pela prevenção e manutenção das estruturas de proteção (gengiva) e sustentação (ligamento periodontal, cemento e osso) dos elementos dentários. É muito importante as pessoas saberem reconhecer e identificar as características de uma gengiva saudável. Em relação a cor esta pode variar de um rosa claro ou apresentar algumas manchas escuras (pigmentações). Outros aspectos são gengiva marginal em forma de ponta de faca, papilas de forma triangular preenchendo os espaços entre os dentes na região anterior e côncava nos dentes posteriores, gengiva firme, contorno levemente ondulado e não apresenta sangramento.
Prevenção e manutenção
A prevenção e manutenção da saúde gengival e periodontal é realizada por um adequado controle de higiene oral pessoal e profissional. O cuidado pessoal é feito por um efetivo controle mecânico de placa microbiana com uso de escova, fio e creme dentais diariamente. O cuidado profissional é dado por uma visita regular a clínica em que serão repassadas instruções de higiene oral individualizadas, bem como, remoção mecânica de placa microbiana e polimento quando necessário.
Principais problemas
A placa bacteriana é definida como uma película de aspecto viscosa, pegajosa, incolor ou esbranquiçada, fortemente aderida às superfícies dentais que se formam constantemente nos dentes e composta por bilhões de bactérias, sendo a maioria encontrada apenas na cavidade oral. A placa bacteriana é o principal agente etiológico das doenças periodontais. Quando os cuidados de higiene oral não são bem executados pode ocorrer um acúmulo maior de placa na margem gengival acarretando inúmeras alterações no tecido gengival e periodontal. Nos estágios iniciais as alterações são restritas a gengiva marginal causando vermelhidão, inchaço, sangramento ao toque ou espontâneo e hálito persistente ou mau gosto na boca. Esse primeiro estágio é denominado de gengivite. Entretanto, quando não tratada pode evoluir para periodontite, que inclui gengivas vermelhas brilhantes, escuras ou arroxeadas, inchaço, sangramento, bolsas periodontais (afastamento entre os dentes e as gengivas), pús, possivelmente dor, recessão gengival e principalmente perda do osso que suporte os dentes.
Outros fatores de risco
Além da placa bacteriana é importante considerar outros fatores de risco como alterações hormonais (gestação), menopausa, menstruação, diabetes, medicamentos, tabaco, obesidade, restaurações mal adaptadas, pessoas imunocomprometidas entre outras. Estima-se que doenças periodontais graves afetem quase 10% da população global.
Importante ressaltar que enfermidades periodontais tendem afetar negativamente nas atividades diárias, tanto na capacidade de comer, falar e socializar como também nas relações interpessoais, podendo reduzir assim a qualidade de vida e autoestima das pessoas, além de acarretar outros possíveis problemas de saúde em geral.
Diagnóstico
A doença periodontal é diagnosticada pelo seu dentista durante um exame periodontal. Esse tipo de exame deve sempre fazer parte do seu check-up odontológico regular. Aqui observaremos a cor da gengiva, espaço existente entre dente e gengiva (sulco ou bolsa periodontal), presença ou não de sangramento, presença ou não de edema (inchaço), flacidez, presença de recessão gengival.
Formas de tratamento
As formas de tratamento da doença periodontal são a raspagem periodontal, que consiste na remoção da placa e cálculo dental através de instrumentos específicos (ultrassom e curetas) e a cirurgia periodontal. Os procedimentos são específicos para cada situação clinica apresentada.
Além desses, temos os casos de recobrimento radicular, correção de sorriso gengival, frenectomia, remoção de manchas gengivais, rastreamento oral de câncer ou outras doenças, implantes, enxertos gengivais, aumento ósseo, aumento de coroa, regeneração de tecidos moles e duros, entre outros.
Perguntas Frequentes
Temos vários fatores como exemplo: má higiene oral, acumulo maior de placa bacteriana, cigarro, fatores genéticos, estresse, dieta entre outros.
É realizada de forma minuciosa, dente por dente, por um dentista especializado e considera aspectos como: histórico dental, qualidade de higiene oral, características gengivais (aspectos visuais) como coloração, contorno e textura superficial e posição gengival. Com auxílio de uma sonda periodontal observa-se a possível existência de um deslocamento da gengiva do dente (bolsa Periodontal), presença ou não de sangramento ao toque ou espontâneo e mobilidade dental. Pode-se solicitar exames complementares como radiográficos e laboratoriais.
Sim. A doença periodontal pode ser considerada como fator de risco para várias doenças sistêmicas como doença vascular aterosclerótica, doença pulmonar, diabetes, complicações relacionas a gravidez, doença renal, obesidade, etc. Os microrganismos presentes na doença periodontal podem migrar pela corrente sanguínea para diversos órgãos e interferir de maneira clinicamente significativa na condição sistêmica do paciente.
As doenças periodontais podem evoluir, aumentando o sangramento espontâneo ou ao toque, inchaço e halitose. Caso a enfermidade evolua para uma periodontite, inicia-se a destruição do osso que circunda e sustenta o dente com consequente mobilidade e possível perda dental.
Perguntas Frequentes
Temos vários fatores como exemplo: má higiene oral, acumulo maior de placa bacteriana, cigarro, fatores genéticos, estresse, dieta entre outros.
É realizada de forma minuciosa, dente por dente, por um dentista especializado e considera aspectos como: histórico dental, qualidade de higiene oral, características gengivais (aspectos visuais) como coloração, contorno e textura superficial e posição gengival. Com auxílio de uma sonda periodontal observa-se a possível existência de um deslocamento da gengiva do dente (bolsa Periodontal), presença ou não de sangramento ao toque ou espontâneo e mobilidade dental. Pode-se solicitar exames complementares como radiográficos e laboratoriais.
Sim. A doença periodontal pode ser considerada como fator de risco para várias doenças sistêmicas como doença vascular aterosclerótica, doença pulmonar, diabetes, complicações relacionas a gravidez, doença renal, obesidade, etc. Os microrganismos presentes na doença periodontal podem migrar pela corrente sanguínea para diversos órgãos e interferir de maneira clinicamente significativa na condição sistêmica do paciente.
As doenças periodontais podem evoluir, aumentando o sangramento espontâneo ou ao toque, inchaço e halitose. Caso a enfermidade evolua para uma periodontite, inicia-se a destruição do osso que circunda e sustenta o dente com consequente mobilidade e possível perda dental.
Perguntas Frequentes
Temos vários fatores como exemplo: má higiene oral, acumulo maior de placa bacteriana, cigarro, fatores genéticos, estresse, dieta entre outros.
É realizada de forma minuciosa, dente por dente, por um dentista especializado e considera aspectos como: histórico dental, qualidade de higiene oral, características gengivais (aspectos visuais) como coloração, contorno e textura superficial e posição gengival. Com auxílio de uma sonda periodontal observa-se a possível existência de um deslocamento da gengiva do dente (bolsa Periodontal), presença ou não de sangramento ao toque ou espontâneo e mobilidade dental. Pode-se solicitar exames complementares como radiográficos e laboratoriais.
Sim. A doença periodontal pode ser considerada como fator de risco para várias doenças sistêmicas como doença vascular aterosclerótica, doença pulmonar, diabetes, complicações relacionas a gravidez, doença renal, obesidade, etc. Os microrganismos presentes na doença periodontal podem migrar pela corrente sanguínea para diversos órgãos e interferir de maneira clinicamente significativa na condição sistêmica do paciente.
As doenças periodontais podem evoluir, aumentando o sangramento espontâneo ou ao toque, inchaço e halitose. Caso a enfermidade evolua para uma periodontite, inicia-se a destruição do osso que circunda e sustenta o dente com consequente mobilidade e possível perda dental.
Banner de agendamento de avaliação no Instituto IPPO com equipe de profissionais e formulário para contato.
Agende sua avaliação
Banner de agendamento de avaliação no Instituto IPPO com equipe de profissionais e formulário para contato.
Agende sua avaliação
Banner de agendamento de avaliação no Instituto IPPO com equipe de profissionais e formulário para contato.
Agende sua avaliação
Vantagens de ser um
Paciente Modelo IPPO

Como paciente modelo, você pode ser atendido por nossos profissionais especializados e aproveitar essas vantagens:


Atendimentos realizados em nossos cursos, por dentistas formados em pós-graduação;

Condições diferenciadas em relação ao atendimento particular;

Supervisão realizada por professores Mestres e Doutores reconhecidos em todo o Brasil;

Parceria com as melhores empresas de insumos e materiais do mercado;

Utilização dos melhores e mais modernos equipamentos, materiais e técnicas disponíveis na Odontologia.

Seja um
Paciente Modelo IPPO

No IPPO você pode ser atendido tanto por nossos profissionais particulares quanto aproveitar as vantagens de ser um Paciente Modelo IPPO:


Atendimentos realizados em nossos cursos, por dentistas formados em pós-graduação

Condições diferenciadas em relação ao atendimento particular

Supervisão realizada por professores Mestres e Doutores reconhecidos em todo o Brasil

Parceria com as melhores empresas do mercado

Utilização dos melhores e mais modernos materiais e técnicas disponíveis na Odontologia

Vantagens de ser um
Paciente Modelo IPPO

Como paciente modelo, você pode ser atendido por nossos profissionais especializados e aproveitar essas vantagens:


Atendimentos realizados em nossos cursos, por dentistas formados em pós-graduação;

Condições diferenciadas em relação ao atendimento particular;

Supervisão realizada por professores Mestres e Doutores reconhecidos em todo o Brasil;

Parceria com as melhores empresas de insumos e materiais do mercado;

Utilização dos melhores e mais modernos equipamentos, materiais e técnicas disponíveis na Odontologia.