Estética
Cuidamos da saúde e estética dos seus dentes, oferecendo tratamentos como restaurações, facetas e clareamento dental.
Estética
Cuidamos da saúde e estética dos seus dentes, oferecendo tratamentos como restaurações, facetas e clareamento dental.
O que é?

É a especialidade da odontologia que foca em tratamentos preventivos e restauradores, com o intuito de cuidar da saúde, função e estética do paciente.

Nossos dentes desempenham papéis importantes em nosso organismo como a mastigação, fala, deglutição, estética do sorriso e face, e fratura de um ou mais dentes podem causar um desequilíbrio dos itens citados. Confira os tipos de dentística abaixo:

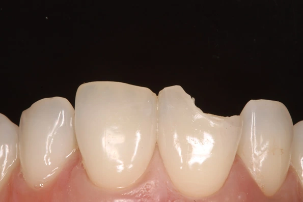
Tipos Dentística Restauradora
É responsável por tratar os dentes comprometidos, seja eles pela doença Cárie, Desgastes e ou fraturas. Elas podem ser diretas, onde o dentista faz a restauração em boca e o paciente sai pronto na mesma sessão, ou indireta onde se exige mais que uma sessão pois a restauração é confeccionada no laboratório. Geralmente nas diretas utilizamos a Resina composta como material de eleição e na indireta podemos utilizar porcelana ou resina composta (EX: Blocos, onlay, inlay ou overlay).
Quando utilizar uma ou outra?
É necessário que cada paciente passe por uma avaliação individual, onde o Cirurgião Dentista fará uma avaliação clínica e radiográfica (Tomografia e Panorâmica) para planejar a melhor opção de restauração. Em cavidades pequenas/ fraturas pequenas podemos fazer com resina na mesma sessão, porém em casos com faturas mais extensas, envolvendo cúspides, a restauração precisa ser forte, geralmente realizada em laboratório.
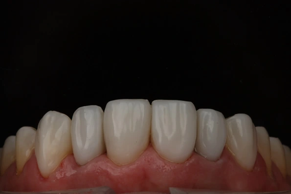
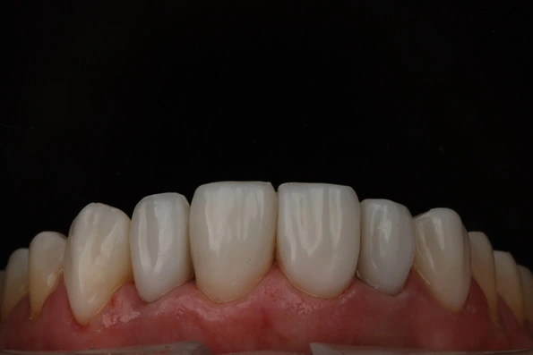
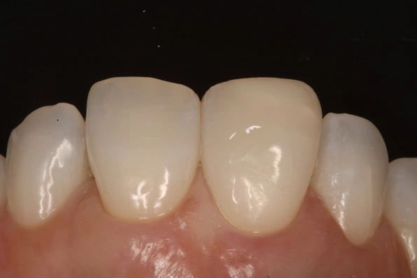
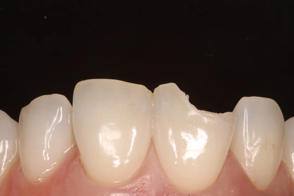
Dentística Estética (facetas, lentes e coroas)
É responsável por harmonizar o sorriso, corrigir cor, desalinhamos, dentes mau posicionados e espaços entre eles, conhecidos como, diastemas. Elas podem ser diretas, onde o dentista faz a faceta em boca e o paciente sai pronto na mesma sessão, ou indireta onde se exige mais que uma sessão pois a restauração é confeccionada no laboratório. Geralmente nas diretas utilizamos a Resina composta como material de eleição e na indireta podemos utilizar porcelana ou resina composta. É necessário que cada paciente passe por uma avaliação individual, onde o Cirurgião Dentista fará uma avaliação clínica e radiográfica (Tomografia e Panorâmica) para planejar a melhor opção de tratamento. Em casos estéticos, sempre optamos por fazer o planejamento do novo sorriso e mostrar uma prévia ao paciente através do MOCK UP (test drive).
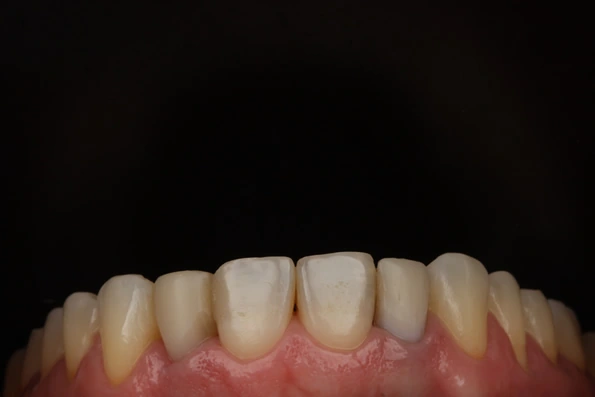
Clareamento dental

Procedimento rápido, eficaz, conservador e não invasivo, indicado para dentes naturais. Este tratamento pode anteceder outros procedimentos estéticos e pode ser realizado de duas maneiras:

  • Office: realizado em consultório pelo dentista.
  • Home: realizado em casa, no trabalho ou em qualquer lugar, utilizando moldeiras personalizadas com gel clareador.

A escolha da metodologia do clareamento é determinada pelo dentista.

Perguntas frequentes
Não, clareia apenas dentes naturais, por isso é necessário realiza-lo antes da confecção das restaurações.
Sim, as consultas periódicas a cada 6 meses são importantes para a longevidade do tratamento.
Essas restaurações são realizadas em dentes naturais, com tratamento endodôntico ou não. Quem não possui dentes, no caso prótese total móvel ou sobre implantes, não podem.
Em média 7 dias. Nesse período o paciente ficará de provisório.
Em média, as facetas de resina composta tem durabilidade de 5 anos. Já as de cerâmica, 10 anos.
O que é?

É a especialidade da odontologia que foca em tratamentos preventivos e restauradores, com o intuito de cuidar da saúde, função e estética do paciente.

Nossos dentes desempenham papéis importantes em nosso organismo como a mastigação, fala, deglutição, estética do sorriso e face, e fratura de um ou mais dentes podem causar um desequilíbrio dos itens citados. Confira os tipos de dentística abaixo:

Tipos Dentística Restauradora
É responsável por tratar os dentes comprometidos, seja eles pela doença Cárie, Desgastes e ou fraturas. Elas podem ser diretas, onde o dentista faz a restauração em boca e o paciente sai pronto na mesma sessão, ou indireta onde se exige mais que uma sessão pois a restauração é confeccionada no laboratório. Geralmente nas diretas utilizamos a Resina composta como material de eleição e na indireta podemos utilizar porcelana ou resina composta (EX: Blocos, onlay, inlay ou overlay).
Quando utilizar uma ou outra?
É necessário que cada paciente passe por uma avaliação individual, onde o Cirurgião Dentista fará uma avaliação clínica e radiográfica (Tomografia e Panorâmica) para planejar a melhor opção de restauração. Em cavidades pequenas/ fraturas pequenas podemos fazer com resina na mesma sessão, porém em casos com faturas mais extensas, envolvendo cúspides, a restauração precisa ser forte, geralmente realizada em laboratório.
Dentística Estética (facetas, lentes e coroas)
É responsável por harmonizar o sorriso, corrigir cor, desalinhamos, dentes mau posicionados e espaços entre eles, conhecidos como, diastemas. Elas podem ser diretas, onde o dentista faz a faceta em boca e o paciente sai pronto na mesma sessão, ou indireta onde se exige mais que uma sessão pois a restauração é confeccionada no laboratório. Geralmente nas diretas utilizamos a Resina composta como material de eleição e na indireta podemos utilizar porcelana ou resina composta. É necessário que cada paciente passe por uma avaliação individual, onde o Cirurgião Dentista fará uma avaliação clínica e radiográfica (Tomografia e Panorâmica) para planejar a melhor opção de tratamento. Em casos estéticos, sempre optamos por fazer o planejamento do novo sorriso e mostrar uma prévia ao paciente através do MOCK UP (test drive).
Clareamento dental

Procedimento rápido, eficaz, conservador e não invasivo, indicado para dentes naturais. Este tratamento pode anteceder outros procedimentos estéticos e pode ser realizado de duas maneiras:

  • Office: realizado em consultório pelo dentista.
  • Home: realizado em casa, no trabalho ou em qualquer lugar, utilizando moldeiras personalizadas com gel clareador.

A escolha da metodologia do clareamento é determinada pelo dentista.

Perguntas frequentes
Não, clareia apenas dentes naturais, por isso é necessário realiza-lo antes da confecção das restaurações.
Sim, as consultas periódicas a cada 6 meses são importantes para a longevidade do tratamento.
Essas restaurações são realizadas em dentes naturais, com tratamento endodôntico ou não. Quem não possui dentes, no caso prótese total móvel ou sobre implantes, não podem.
Em média 7 dias. Nesse período o paciente ficará de provisório.
Em média, as facetas de resina composta tem durabilidade de 5 anos. Já as de cerâmica, 10 anos.
O que é?

É a especialidade da odontologia que foca em tratamentos preventivos e restauradores, com o intuito de cuidar da saúde, função e estética do paciente.

Nossos dentes desempenham papéis importantes em nosso organismo como a mastigação, fala, deglutição, estética do sorriso e face, e fratura de um ou mais dentes podem causar um desequilíbrio dos itens citados. Confira os tipos de dentística abaixo:

Tipos Dentística Restauradora
É responsável por tratar os dentes comprometidos, seja eles pela doença Cárie, Desgastes e ou fraturas. Elas podem ser diretas, onde o dentista faz a restauração em boca e o paciente sai pronto na mesma sessão, ou indireta onde se exige mais que uma sessão pois a restauração é confeccionada no laboratório. Geralmente nas diretas utilizamos a Resina composta como material de eleição e na indireta podemos utilizar porcelana ou resina composta (EX: Blocos, onlay, inlay ou overlay).
Quando utilizar uma ou outra?
É necessário que cada paciente passe por uma avaliação individual, onde o Cirurgião Dentista fará uma avaliação clínica e radiográfica (Tomografia e Panorâmica) para planejar a melhor opção de restauração. Em cavidades pequenas/ fraturas pequenas podemos fazer com resina na mesma sessão, porém em casos com faturas mais extensas, envolvendo cúspides, a restauração precisa ser forte, geralmente realizada em laboratório.
Dentística Estética (facetas, lentes e coroas)
É responsável por harmonizar o sorriso, corrigir cor, desalinhamos, dentes mau posicionados e espaços entre eles, conhecidos como, diastemas. Elas podem ser diretas, onde o dentista faz a faceta em boca e o paciente sai pronto na mesma sessão, ou indireta onde se exige mais que uma sessão pois a restauração é confeccionada no laboratório. Geralmente nas diretas utilizamos a Resina composta como material de eleição e na indireta podemos utilizar porcelana ou resina composta. É necessário que cada paciente passe por uma avaliação individual, onde o Cirurgião Dentista fará uma avaliação clínica e radiográfica (Tomografia e Panorâmica) para planejar a melhor opção de tratamento. Em casos estéticos, sempre optamos por fazer o planejamento do novo sorriso e mostrar uma prévia ao paciente através do MOCK UP (test drive).
Clareamento dental

Procedimento rápido, eficaz, conservador e não invasivo, indicado para dentes naturais. Este tratamento pode anteceder outros procedimentos estéticos e pode ser realizado de duas maneiras:

  • Office: realizado em consultório pelo dentista.
  • Home: realizado em casa, no trabalho ou em qualquer lugar, utilizando moldeiras personalizadas com gel clareador.

A escolha da metodologia do clareamento é determinada pelo dentista.

Perguntas frequentes
Não, clareia apenas dentes naturais, por isso é necessário realiza-lo antes da confecção das restaurações.
Sim, as consultas periódicas a cada 6 meses são importantes para a longevidade do tratamento.
Essas restaurações são realizadas em dentes naturais, com tratamento endodôntico ou não. Quem não possui dentes, no caso prótese total móvel ou sobre implantes, não podem.
Em média 7 dias. Nesse período o paciente ficará de provisório.
Em média, as facetas de resina composta tem durabilidade de 5 anos. Já as de cerâmica, 10 anos.
Banner de agendamento de avaliação no Instituto IPPO com equipe de profissionais e formulário para contato.
Agende sua avaliação
Banner de agendamento de avaliação no Instituto IPPO com equipe de profissionais e formulário para contato.
Agende sua avaliação
Banner de agendamento de avaliação no Instituto IPPO com equipe de profissionais e formulário para contato.
Agende sua avaliação
Vantagens de ser um
Paciente Modelo IPPO

Como paciente modelo, você pode ser atendido por nossos profissionais especializados e aproveitar essas vantagens:


Atendimentos realizados em nossos cursos, por dentistas formados em pós-graduação;

Condições diferenciadas em relação ao atendimento particular;

Supervisão realizada por professores Mestres e Doutores reconhecidos em todo o Brasil;

Parceria com as melhores empresas de insumos e materiais do mercado;

Utilização dos melhores e mais modernos equipamentos, materiais e técnicas disponíveis na Odontologia.

Seja um
Paciente Modelo IPPO

No IPPO você pode ser atendido tanto por nossos profissionais particulares quanto aproveitar as vantagens de ser um Paciente Modelo IPPO:


Atendimentos realizados em nossos cursos, por dentistas formados em pós-graduação

Condições diferenciadas em relação ao atendimento particular

Supervisão realizada por professores Mestres e Doutores reconhecidos em todo o Brasil

Parceria com as melhores empresas do mercado

Utilização dos melhores e mais modernos materiais e técnicas disponíveis na Odontologia

Vantagens de ser um
Paciente Modelo IPPO

Como paciente modelo, você pode ser atendido por nossos profissionais especializados e aproveitar essas vantagens:


Atendimentos realizados em nossos cursos, por dentistas formados em pós-graduação;

Condições diferenciadas em relação ao atendimento particular;

Supervisão realizada por professores Mestres e Doutores reconhecidos em todo o Brasil;

Parceria com as melhores empresas de insumos e materiais do mercado;

Utilização dos melhores e mais modernos equipamentos, materiais e técnicas disponíveis na Odontologia.